通常患者的蛀牙都在鄰接面、牙齦下,因此根管治療、牙冠增長手術、假牙復形,成了必要的治療,而大多數患者常不了解這些治療方式,本文主要闡述深度鄰接面、牙齦下蛀牙的牙髓/牙周/膺復(EPP1)合併性治療,共包含了:
1)顯微根管治療
2)釘柱復形
3)牙冠增長手術
4)一體成型全瓷冠
幾年下來,這一類連續的治療,長期的癒後相當穩定,因此對於有心保留牙齒的患者,提供了另一個方法,是植牙之外的另一個重要的治療方式。

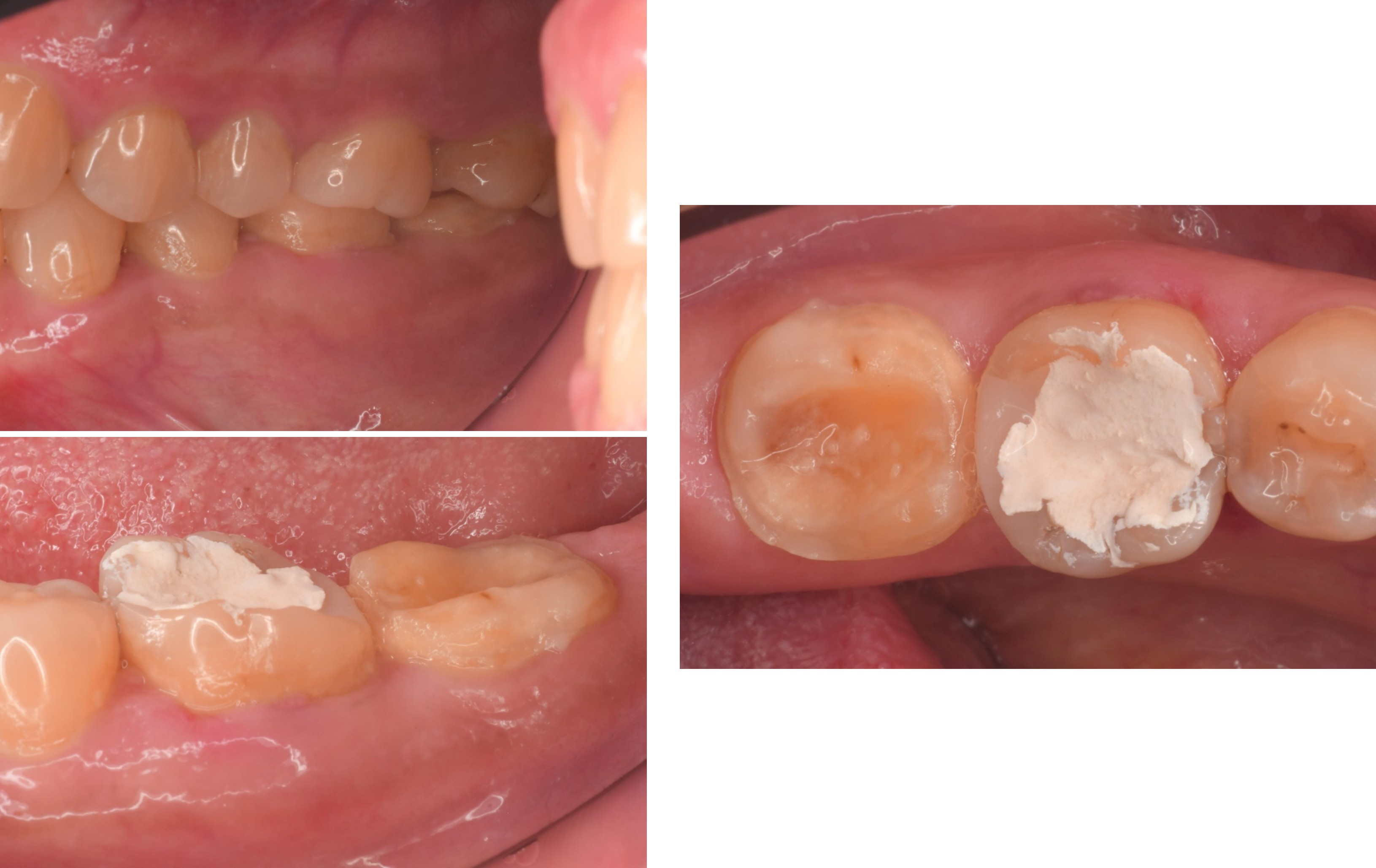
治療前,左下大臼齒區蛀牙

治療前,原根管治療已再污染

鑄造陶瓷釘柱製作

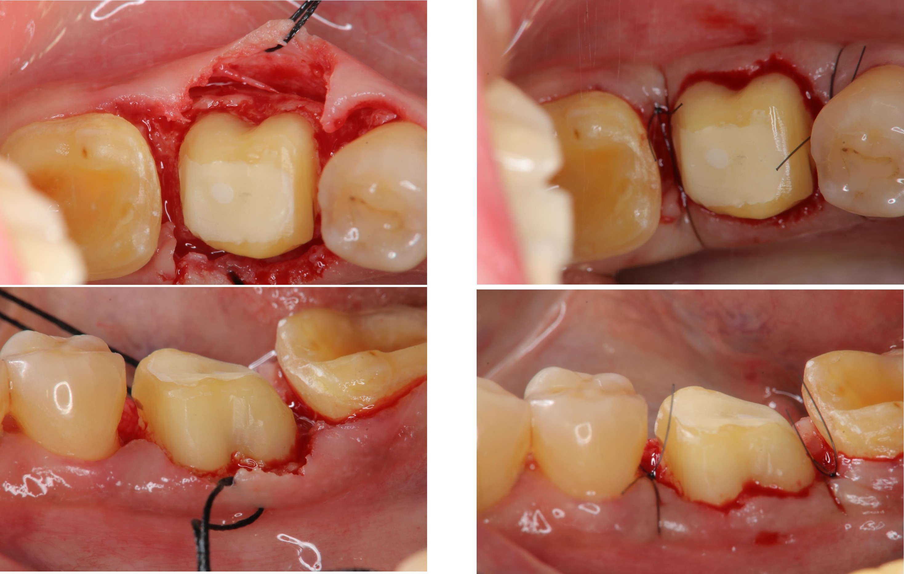
牙冠增長手術-#36

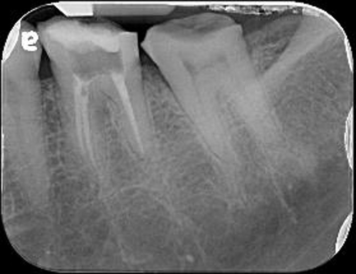
大臼齒顯微根管治療

牙冠增長手術-#37

膺復前評估牙齦、牙齒狀態

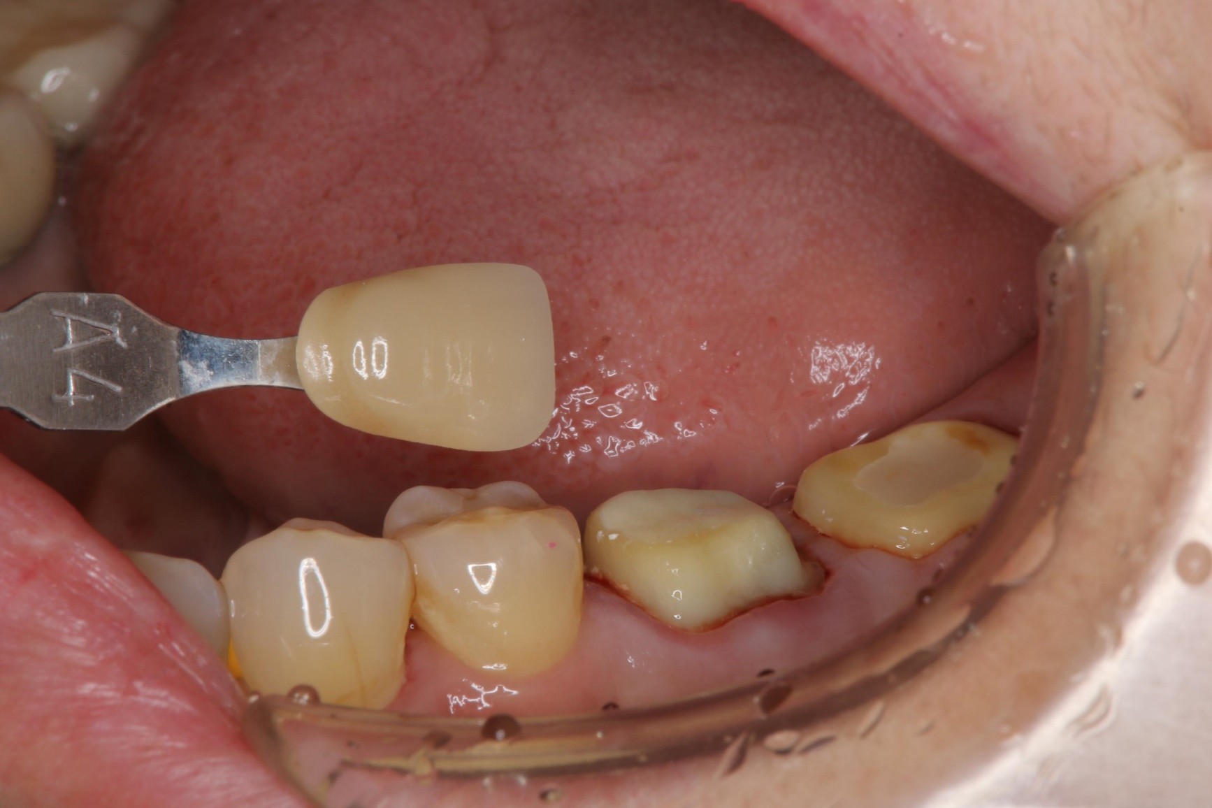
照相比色

面弓取得、上咬合器

技師於咬合器製作全瓷冠

全鋯冠

治療後,牙周咬合良好

治療後,密合度良好

術前、術後比較

幾年下來,這一類連續的治療,長期的癒後相當穩定,因此對於有心保留牙齒的患者,提供了另一個方法,是植牙之外的另一個重要的治療方式。