通常患者的蛀牙都在鄰接面、牙齦下,因此傳統必須進行根管治療等治療,但如果沒有蛀至牙髓,早期將牙齦下蛀牙以水雷射切除蛀牙與牙髓,戴上臨時假牙觀察一個月,如果沒有牙髓相關症狀,接著再印模製作假牙,而現今全鋯冠硬度與美觀都相當理想,為現今治療的最前線治療。

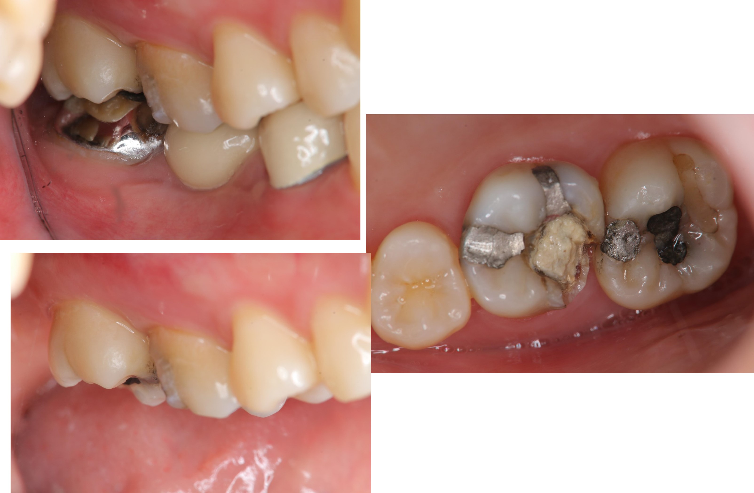
治療前,右上第一大臼齒疼痛

治療前,第一大臼齒蛀牙

水雷射牙齦切除手術

膺復前評估牙齦、牙齒狀態

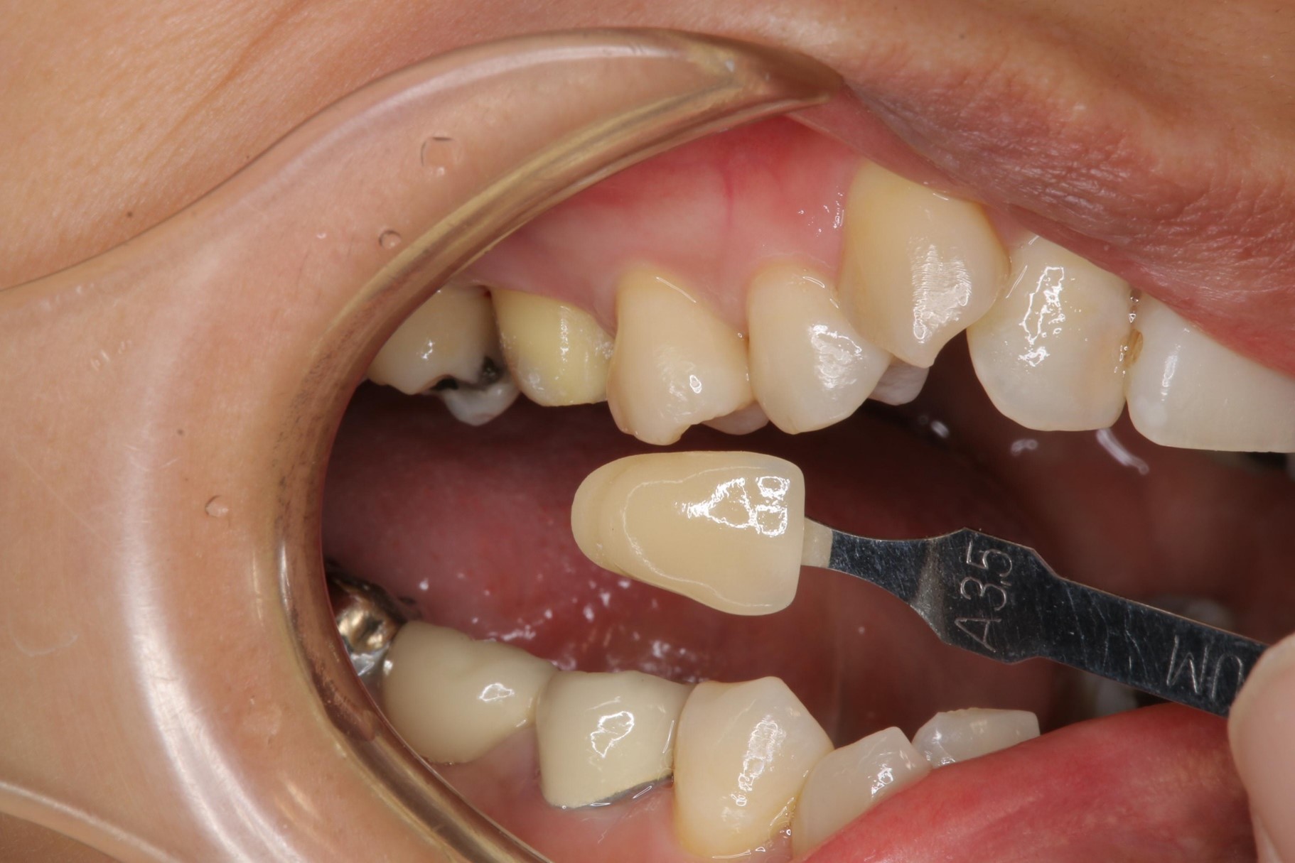
照相比色

上面弓、上咬合器

技師於咬合器製作全瓷冠

全鋯冠

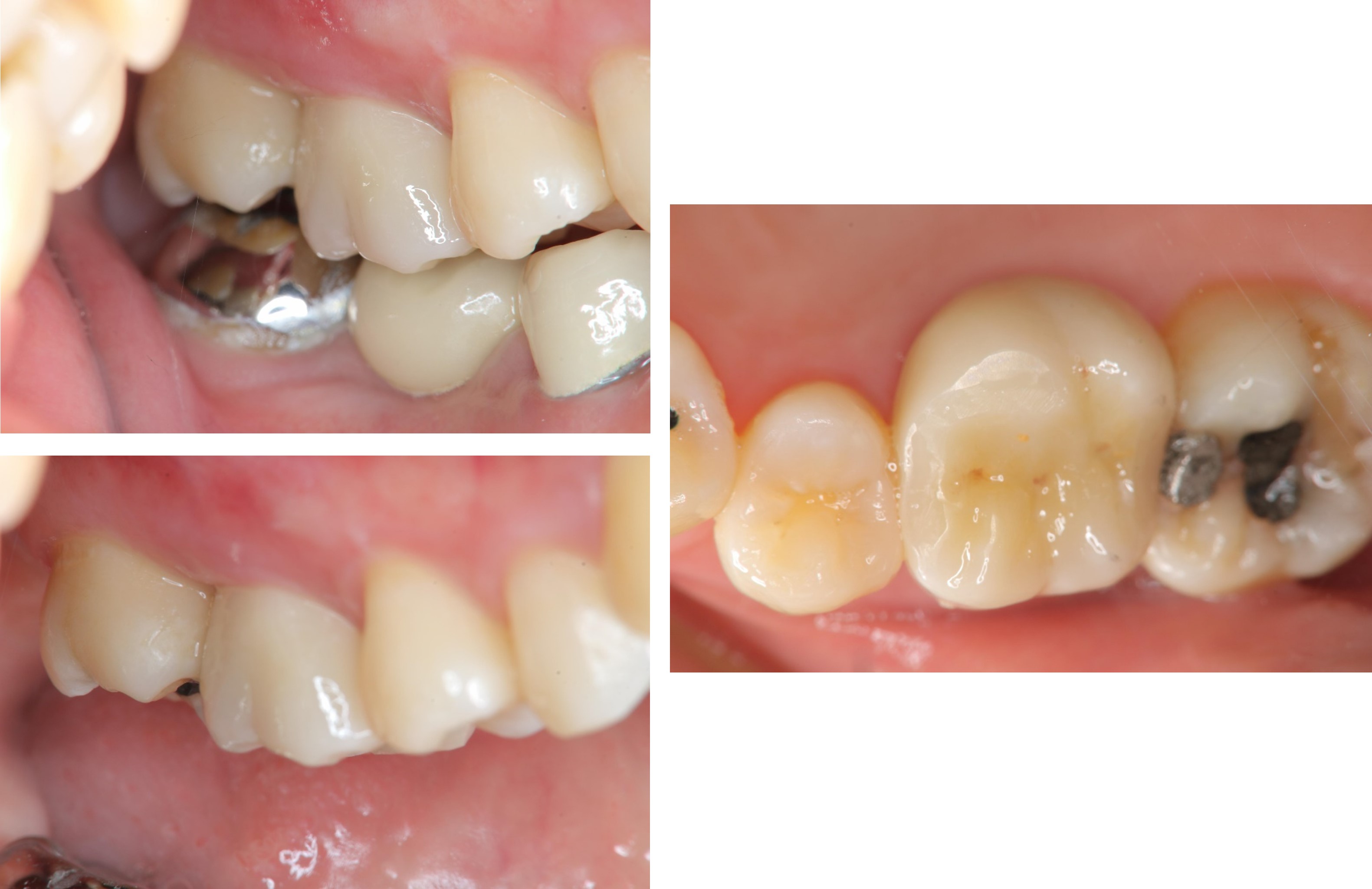
治療後,咬合良好

治療後,密合度良好

術前、術後比較

幾年下來,這一類連續的治療,長期的癒後相當穩定,因此對於有心保留牙齒的患者,提供了另一個方法,是植牙之外的另一個重要的治療方式。