通常患者的蛀牙都在鄰接面、牙齦下,因此根管治療、牙冠增長手術、假牙復形,成了必要的治療,而大多數患者常不了解這些治療方式,本文主要闡述深度鄰接面、牙齦下蛀牙的牙髓/牙周/膺復(EPP2)合併性治療,共包含了:
1)顯微根管治療
2)釘柱復形
3)牙冠增長手術
4)金屬燒付瓷牙
幾年下來,這一類連續的治療,長期的癒後相當穩定,因此對於有心保留牙齒的患者,提供了另一個方法,是植牙之外的另一個重要的治療方式。

治療前,左上第一大臼齒疼痛

治療前,第一大臼齒根尖病變

顯微根管重治療

鑄造金屬釘柱

水雷射牙冠增長手術

膺復前評估牙齦、牙齒狀態

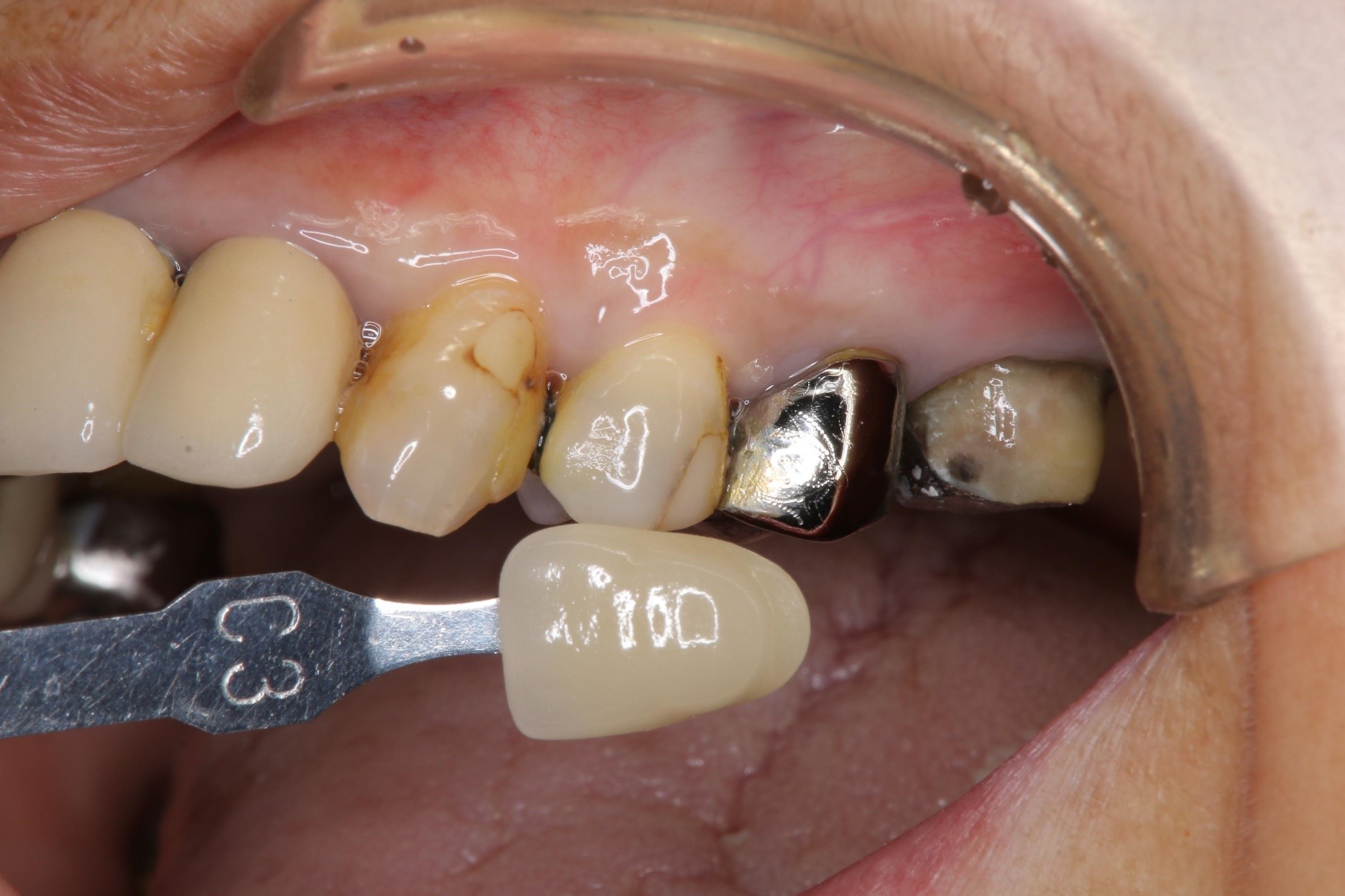
照相比色

上面弓、上咬合器

技師於咬合器製作金屬燒付瓷牙

考量咬合面,製作金屬面之金屬燒付瓷牙

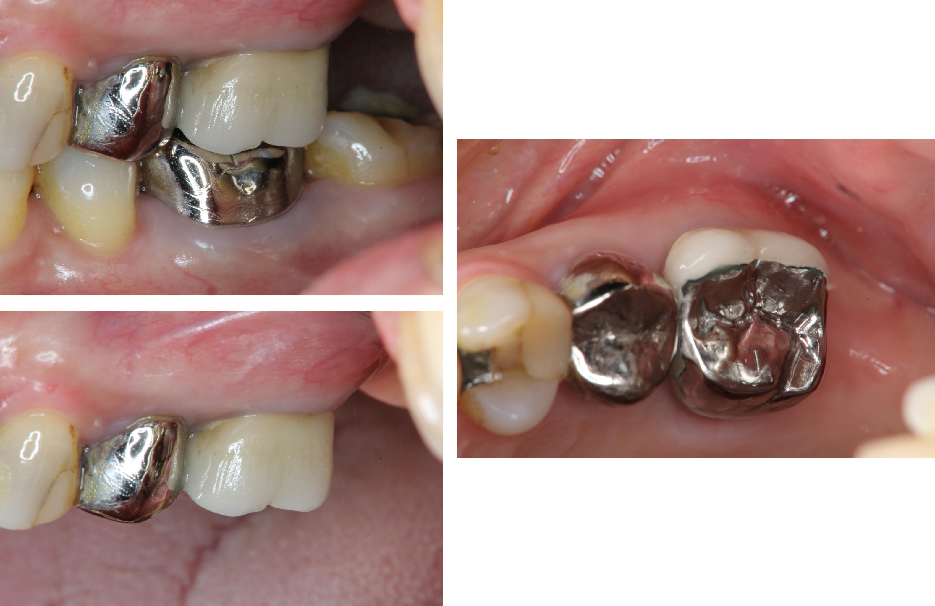
治療後,咬合良好

治療後,密合度良好

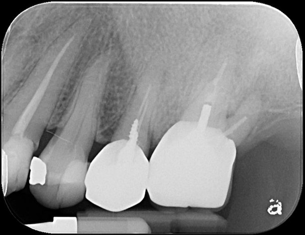
術前、術後比較

幾年下來,這一類連續的治療,長期的癒後相當穩定,因此對於有心保留牙齒的患者,提供了另一個方法,是植牙之外的另一個重要的治療方式。