審美牙科 – 前牙美觀評估分析
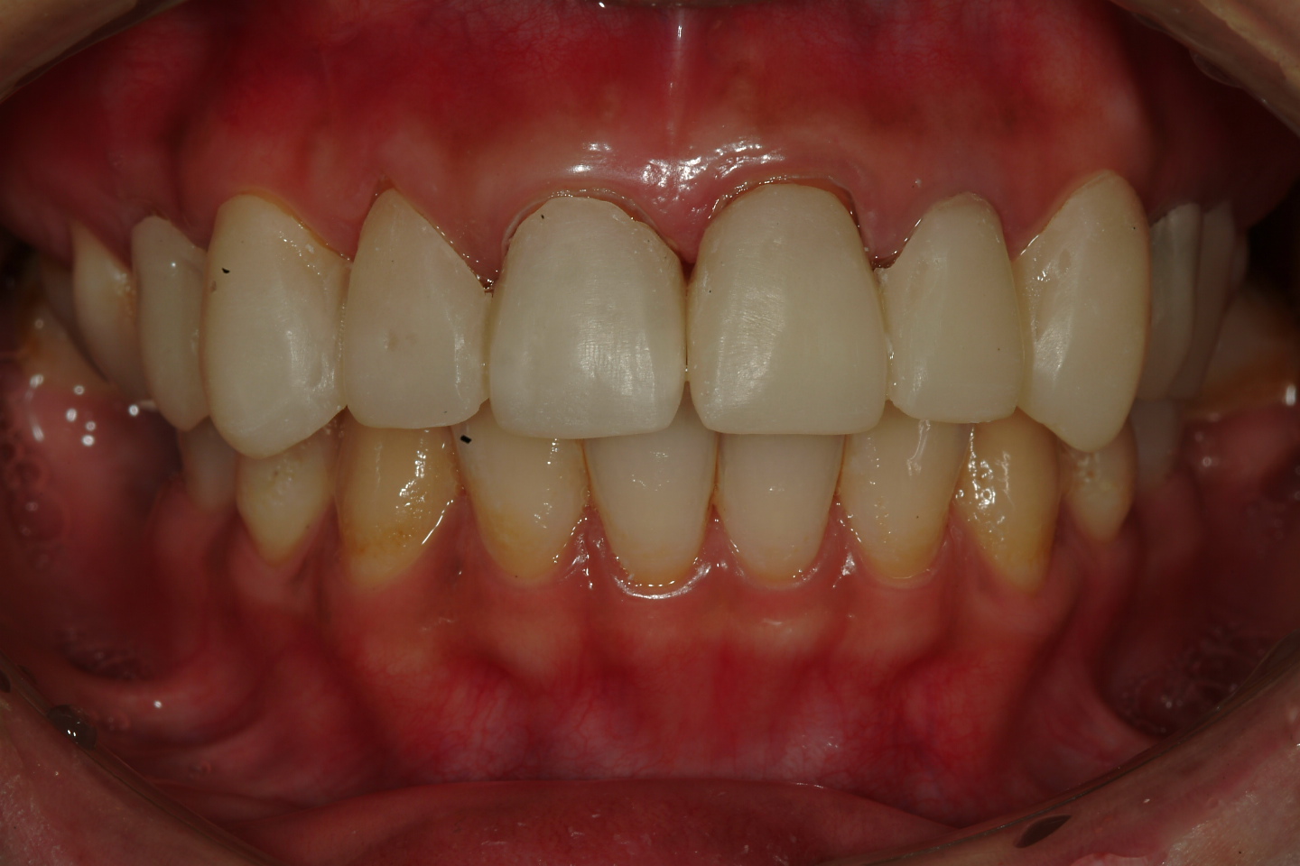
患者許小姐上顎美觀區多顆蛀牙及已變色之填補物,患者經常得出席公開埸合,前牙不美觀問題已困擾多年,患者經介紹至本診所,希望能改善前牙美觀問題。
|
|
|
圖一 |
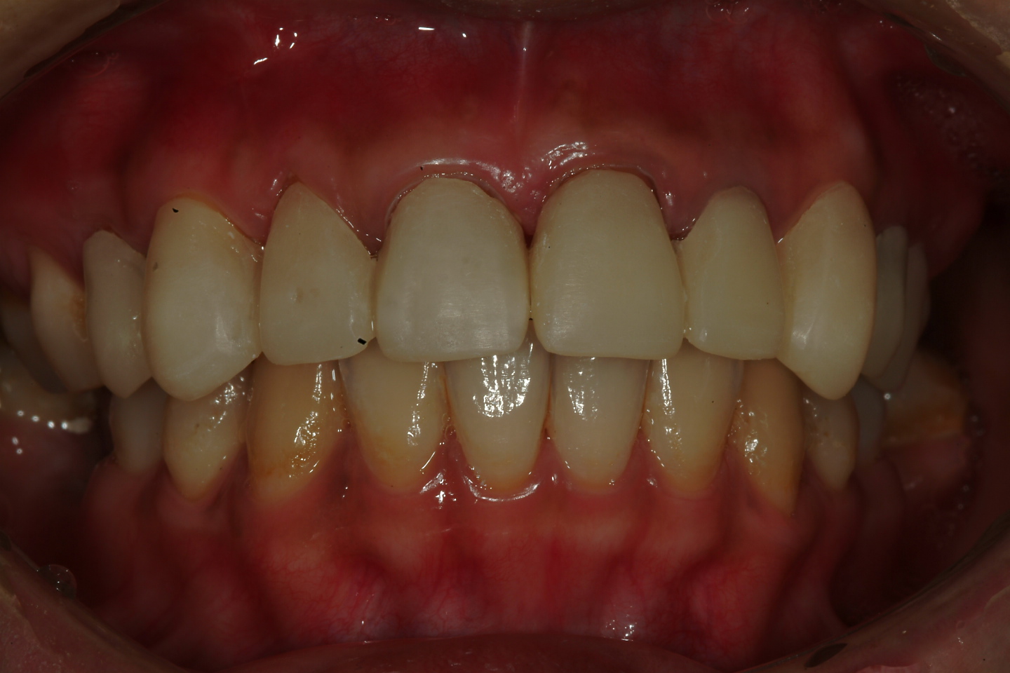
患者的經過診斷,問題如下:(圖二)
一、上頷右上第四小臼齒到左上第五小臼齒皆有不良補綴物,須移除。
二、部分前牙根尖病變 , 根管治療須重新完成 .
三、以假牙方式改變前牙外型
| |
|
圖二 |
本病例的治療計畫方式為:
一、將根尖病變之牙齒 ,重新根管治療
二、製作根管內釘住 , 以支持假牙
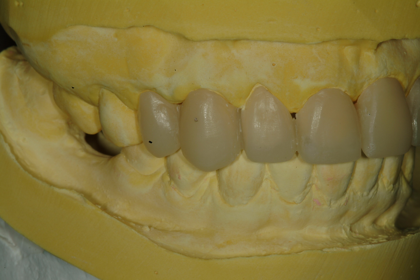
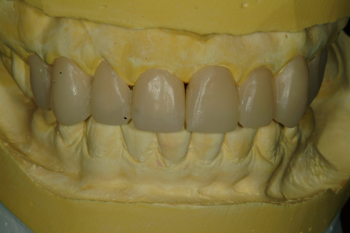
三、上咬合器後 , 與病患討論未來假牙外型(圖三)
|
|
圖三 |
四、以臨時假牙模擬未來假牙外型(圖四)
![]() |
|
圖四 |
五、下頷牙齒居家美白(圖五、圖六)
![]() |
![]() |
|
圖五(下頷美白前) |
圖六(下頷美白後) |
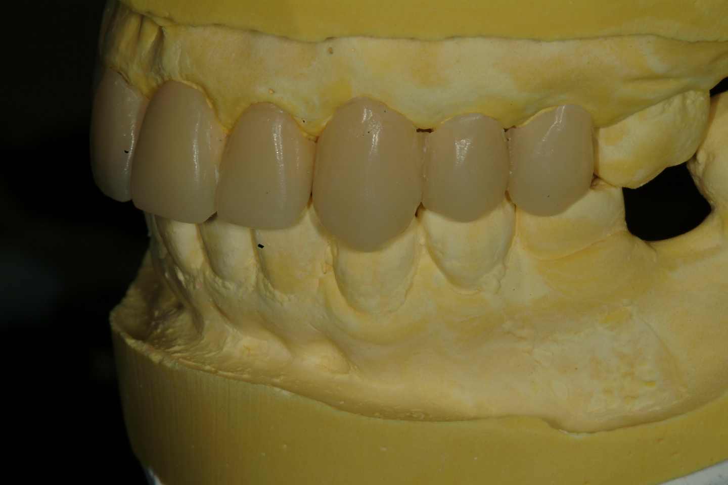
六、假牙印模及製作(圖八)及數位比色(圖七)
由於是前牙,本院採用Cynovad數位比色機比色(圖七),並以高階數位單眼相機記錄牙齒的表面紋路及局部色澤(染色、斑點等),因此技師即使未親臨現埸,仍可得到最精準的比色資料。
| |
![]() |
|
圖七 |
圖八 |
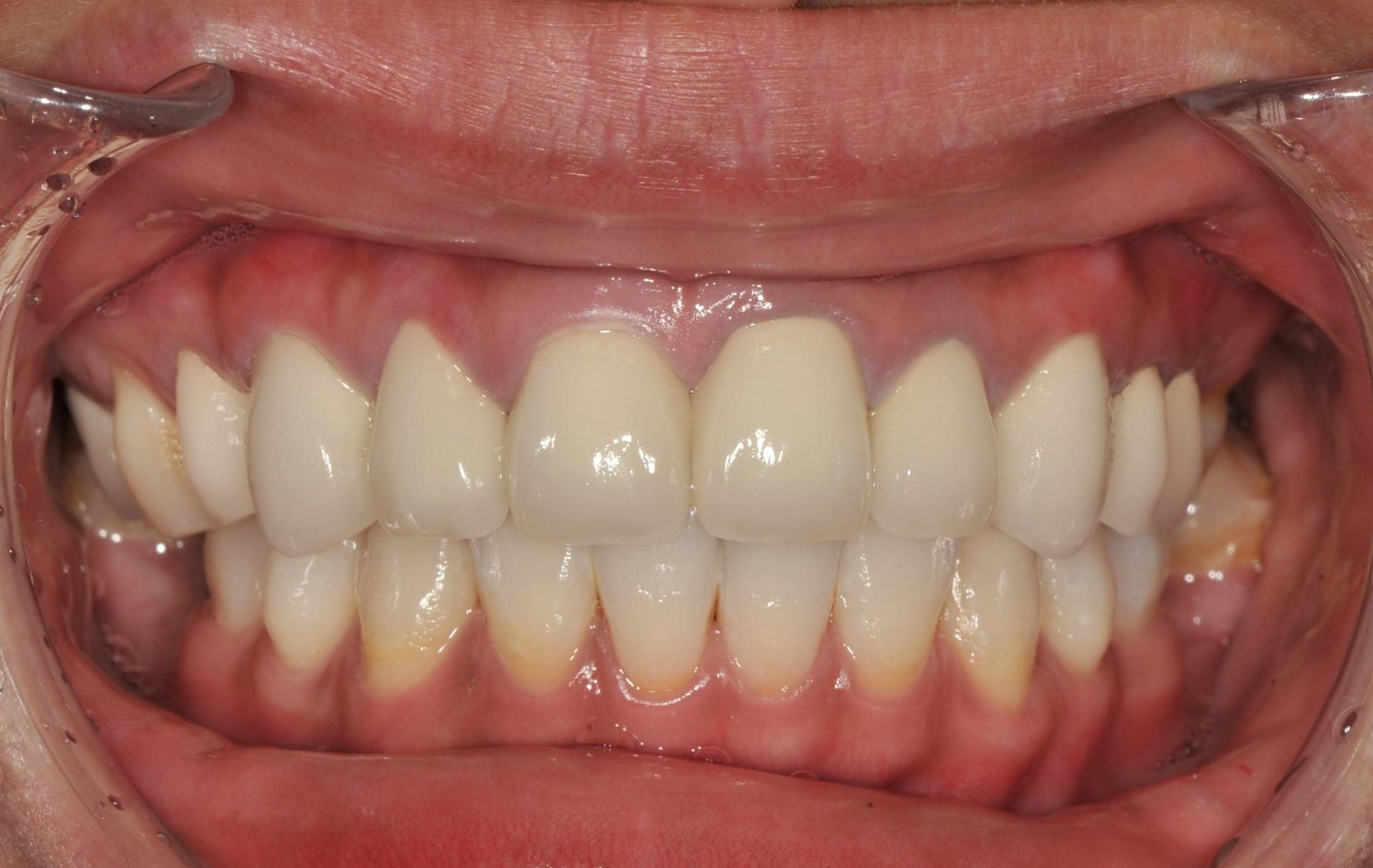
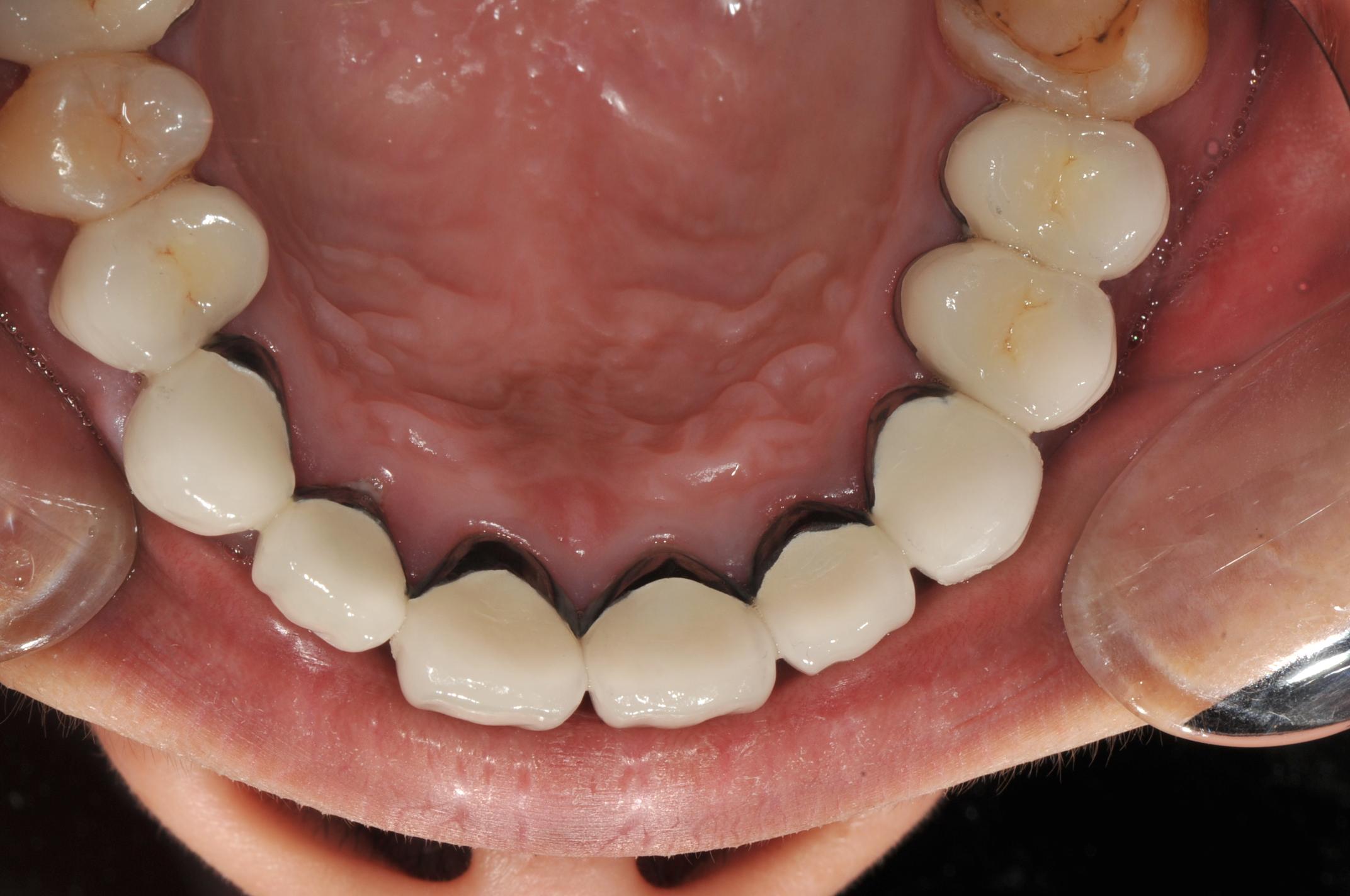
圖九為上頷九顆前牙瓷牙裝戴完成後 , 圖十為咬合面觀
![]() |
![]() |
|
圖九 |
圖十 |
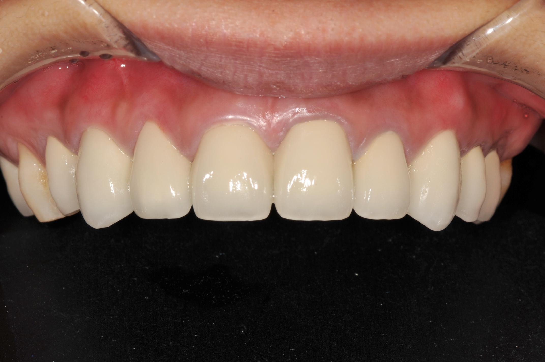
術前、術後比較
![]() |
![]() |
|
術前 |
術後 |








