全瓷冠-上顎門牙不密合假牙
患者
|
|
|
圖一 |
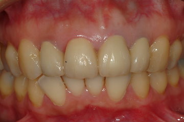
患者的經過診斷,問題如下:
一、正面觀時(圖二),金屬邊緣明顯可見,由於患者口腔衛生良好,很幸運地牙根並無變黑。
二、顎側觀時(圖三),假牙邊緣已不密合,露出一截牙齒。
三、側面觀時(圖四),患者的牙齒較突出,因此未來牙齒修形時,應避免牙齒過度突出。
|
|
|
|
圖二 |
圖三 |
|
|
|
|
圖四 |
|
本病例的治療計畫方式為:
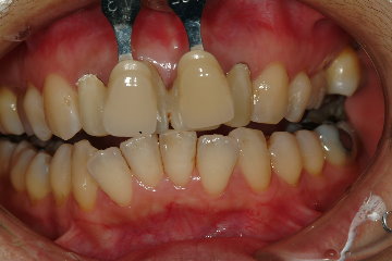
一、拆除假牙,並觀察內部牙齒的損壞情形(圖五),幸運地、牙齒的齒質仍可作為良好的支台齒。
二、製作臨時假牙(圖六),並觀察牙齦的恢復情況,2 週後牙齦並無發炎或牙齒敏感的現像。
|
|
|
|
圖五 |
圖六 |
由於是前牙,本院採用Cynovad數位比色機比色(圖七),並以高階數位單眼相機記錄牙齒的表面紋路及局部色澤(染色、斑點等)(圖八),因此技師即使未親臨現埸,仍可得到最精準的比色資料。
|
|
|
|
圖七 |
圖八 |
圖九為技師所完成的全瓷冠成品,氧化鋯全瓷冠有輕微透光性,可將牙齒的金屬釘柱遮光,但色澤與自然牙齒相仿,是牙科2000年後的最新科技發展。
|
|
|
圖九 |
經試戴、調整、及黏著後,過了一週,病患回診所的結果:
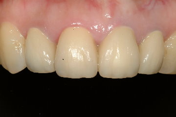
一、正面觀(圖十),全瓷冠的外形與鄰牙自然且協調
二、前牙觀(圖十一),全瓷冠由於無金屬襯?堙A因此與牙齦相當協調。
三、顎面觀(圖十二),全瓷冠的顎側與牙齦自然的接觸。
四、患者微笑時(圖十三),全瓷冠與微笑曲線接近,協調且自然。
經過全瓷冠的修復,患者得到滿意的結果,可以再度露出自信且迷人的笑容了。
|
|
|
|
圖十 |
圖十一 |
|
|
|
|
圖十二 |
圖十三 |
術前、術後比較
|
|
|
|
術前 |
術後 |







