最新消息
關於永信
診所理念
診所位置
診所環境
初診流程
醫師團隊
感染控制
生活花絮
PGY訓練
先進設備
人工植牙
口腔重建
審美牙科
固定活動假牙
根管治療
牙周病
齒顎矯正
醫療項目
人工植牙
齒顎矯正
口腔重建
顯微牙髓治療
顳顎關節治療TMD
顯微牙周治療
顯微審美
固定假牙
活動假牙
口腔外科
牙體復形
假牙補助
牙周病統合照顧
特色醫療
All On Four / Six
前牙美學
植牙導航
雷射治療
隱適美
鎮靜麻醉
顯微治療
功能性矯正器
醫學資訊
醫學新知
新聞剪影
病例報告
PGY訓練
教與學
在線服務
線上諮詢
線上約診
線上評估
徵才
1111人力銀行
104人力銀行
醫學資訊
首頁
醫學資訊
病例報告
醫學資訊
Medical
醫學新知
新聞剪影
病例報告
篩選資料
選擇類別
全部顯示
人工植牙
根管治療
牙周病
雷射
膺復假牙
口腔重建
兒童牙科
齒顎矯正
口腔外科
審美牙科
多重治療
固定式假牙
顳顎關節
牙體復形
局部活動假牙
全口活動假牙
牙體復形
人工植牙/牙周補骨手術及植牙手術及皮瓣重置手術
選擇次類別
選擇次類別
關鍵字
確認送出
所有案例
※ 資料共有
5
筆, 每頁顯示
12
筆, 共
1
頁, 目前在第
1
頁。
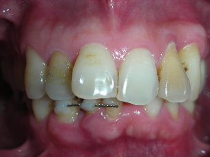
前牙修復及立即植牙-蛀牙-#13-23
人工植牙
立即植牙-前牙
前牙立即植牙-蛀牙-#13
人工植牙
立即植牙-前牙
局部拔牙術之立即植牙-牙齒斷裂-#22
人工植牙
立即植牙-前牙
立即植牙-下顎側門齒嚴重牙周病
人工植牙
立即植牙-前牙
立即植牙-下顎側門齒嚴重牙周病
人工植牙
立即植牙-前牙
1